 |
Wie diagnostiziert man einen Morbus Crohn ?
Vorgeschichte: Bei länger bestehendem Durchfall (> 6 Wochen) muß der Verdacht eines Morbus Crohn gestellt werden.
Körperliche Untersuchung: Ist oft wenig ergiebig: Man tastet schmerzhafte und verdickte Darmabschnitte. Außerdem lassen sich Komplikationen und extraintestinale Manifestationen vermuten bzw. diagnostizieren.
Sonographie: Im Ultraschall kann man als Ergänzung der körperlichen Untersuchung verdickte Daarmwände diagnostizieren. Darüberhinaus sieht man Abszesse und Fisteln.
Labor: Die Entzündungswerte (Blutsenkungsgeschwindigkeit und z.B. C-reaktives Protein) sind häufig (aber nicht immer) pathologisch erhöht. Oft besteht eine Blutarmut.
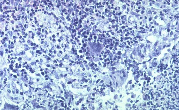
Endoskopie: Die Diagnose wird durch eine Ileokoloskopie (Darmspiegelung) gesichert (diese kann von Experten nahezu immer vollständig schmerzfrei und risikolos durchgeführt werden). Die feingewebliche Untersuchung der Gewebsproben bestätigt die Diagnose. Beim Morbus Crohn sieht man oft die wegen ihrer Form sogenannten Schneckenspuren-Geschwüre (snail track ulcers), bei der feingeweblichen Untersuchung (Histologie) sieht der Pathologe die Krankheit beweisende Granulome (Zusammenballungen von Freßzellen). (» A33, » A35, » A36)
Einmal im Jahr sollte man eine Generaluntersuchung machen: Bestimmung von Eisen, Ferritin, Selen, Zink, Vit A,D,E,K und Vit. B12 sowie Folsäure, (nimmt der Darm genug auf ?) Osteodensiometrie (Knochendichtemessung: Osteoporose ?), Eiweiß im Urin (Nierenbeteiligung)
-
» Wie entsteht ein Morbus Crohn ?

» Welche Komplikationen kann es geben ?
» Wie ist die Prognose des Morbus Crohn ?
» Wie kann man einen Morbus Crohn behandeln ?

|
| |
|